Home
About
About the Practice
Meet the Team
What is an Orthodontist?
Treatments
The Treatment Process
Braces for Adults
Braces for Children
NHS Orthodontic Treatment
Private Orthodontic Treatment
Braces
Fees
Case Studies
Written Testimonials
Before & After Gallery
FAQ
Blog
Contact
Contact Us
Book a Free Consultation
Online Dentist Referrals
Dentist Referrals
Dentist Referrals
Menu
Close
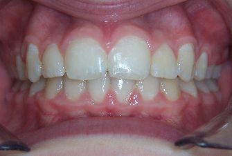
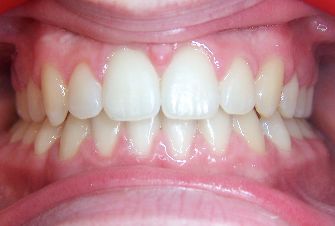
Happy Customers
Before & After. Examples of the results we can achieve with a range of orthodontics appliances.
Sandra
Before & After
Rachel
Before & After
Monica
Before & After
Millie
Before & After
“I am very happy with my treatment and the staff are really friendly”.
Lucas
Before & After
“I found that the staff were very caring and funny. The transformation of my teeth was excellent!”
Laura
Before & After
George
Before & After
Ellie
Before & After
"Excellent care through treatment."
Carly
Before & After
Bethany
Before & After